 
   
  
      Vscan Air™ Ultrasound Probes
    
   
   
  Fill out the form below to watch now! 
 
  The Vscan Air redefines ultrasound with its pocket-sized, wireless, user-friendly system delivering high-quality scans across specialties — whether in the clinic or at the bedside.  
Let Capital Equipment Specialist Lauren Schneider guide you through its features in this hands-on demo! 
This unboxing isn’t just a peek in the box — it’s your guide to deciding if the Vscan Air is the right fit so you master scanning from day one.
What’s covered in this 5-minute demo video:
 
  
      Hands-on Walkthrough:
    
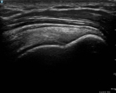
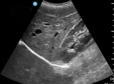
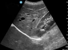
  Compare shallow vs. deep imaging with detailed visuals for both probes (CL & SL), including a look at cardio imaging in action. 
 
  
      How-To’s:
    
  See how to pair probes, capture screenshots, videos, loops, and switch between shallow and deep scans for fast, confident use.
      All the Extras:
    
  Breakdown of what’s included – charging cradle, and more – while exploring standout features like battery life, durability, and warranty.
 
   
   
   
  
      Imaging Quality:
    
  See how it uses piezoelectric crystal technology to deliver sharper, more detailed scans across musculoskeletal, cardiac, vascular and more!
 
  Copyright © 2025 Henry Schein Medical. All rights reserved.
No copying without permission. Not responsible for typographical errors.
Terms and Conditions | Privacy Statement | www.henryscheinmedical.com